Tratamentos planeados com rigor, executados com precisão e acompanhados com proximidade. Aqui, pode ver resultados reais de pessoas que confiaram na nossa equipa para recuperar função, estética e confiança.

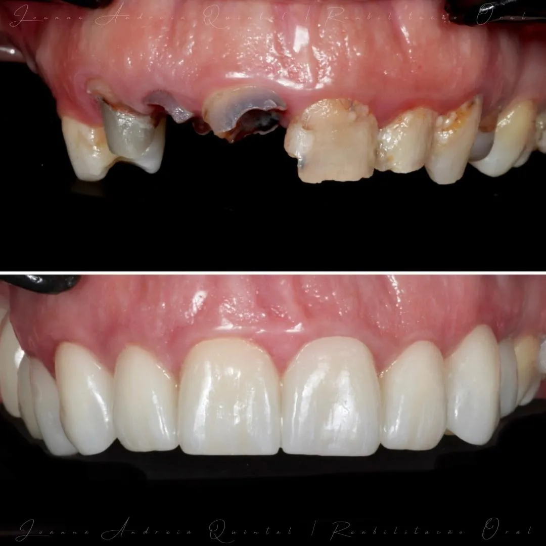
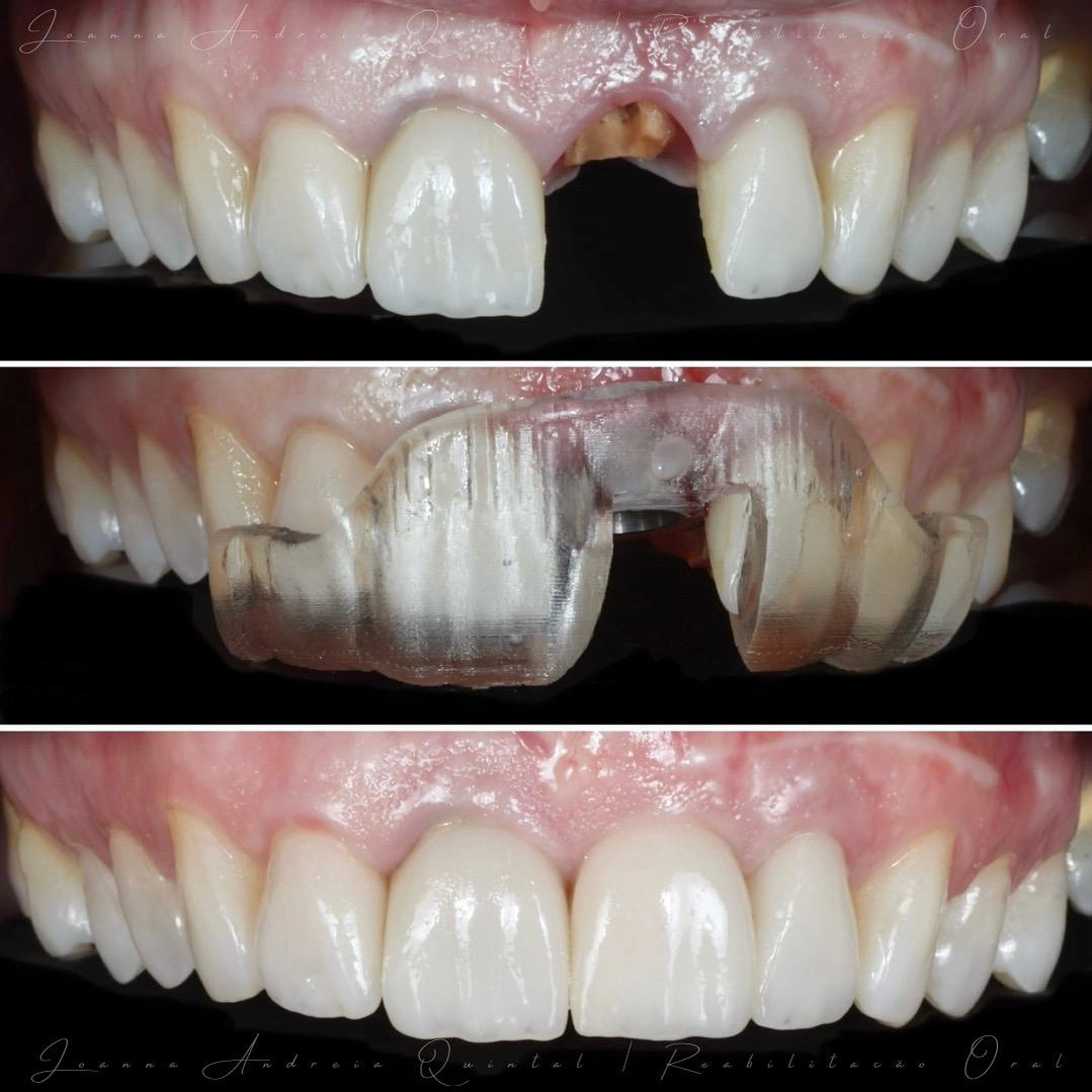
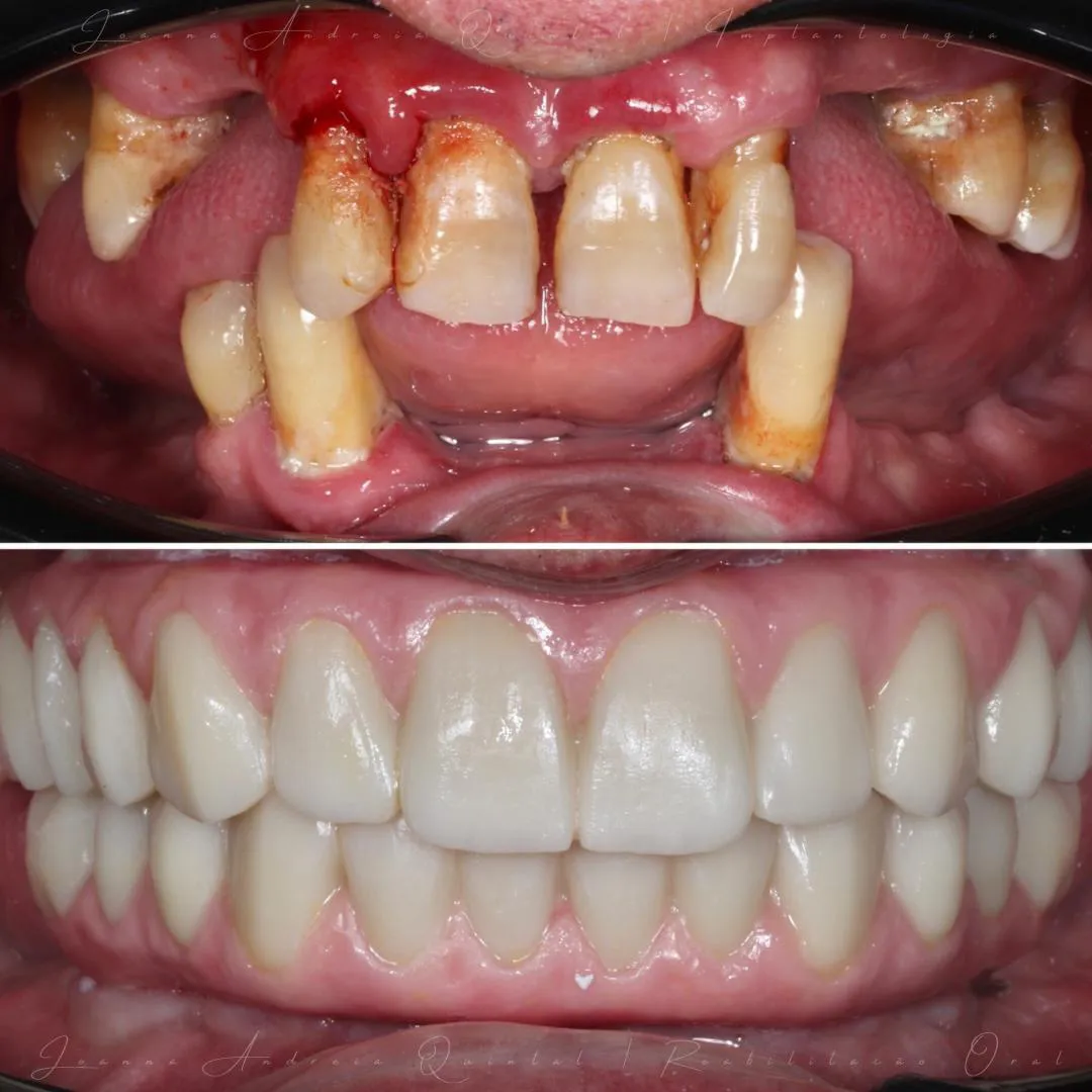
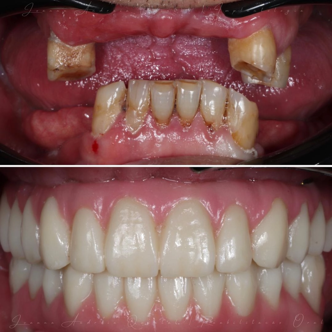
Cada resultado que vê aqui é o reflexo de um processo clínico completo — desde o diagnóstico digital ao planeamento minucioso, até à execução técnica que respeita sempre a biologia e a naturalidade.
Trabalhamos com tecnologia avançada, materiais biomiméticos e uma equipa multidisciplinar que discute cada caso, garantindo previsibilidade, segurança e resultados harmoniosos.
.webp)
Uma seleção de casos que mostram a evolução clínica real. Cada transformação reflete o nosso compromisso com precisão, naturalidade e cuidado personalizado.
O que os nossos pacientes dizem sobre nós.
Cada caso é avaliado com detalhe para alcançar o equilíbrio ideal entre função, estética e naturalidade. O seu sorriso merece este nível de cuidado.