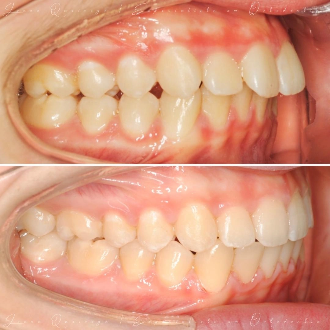
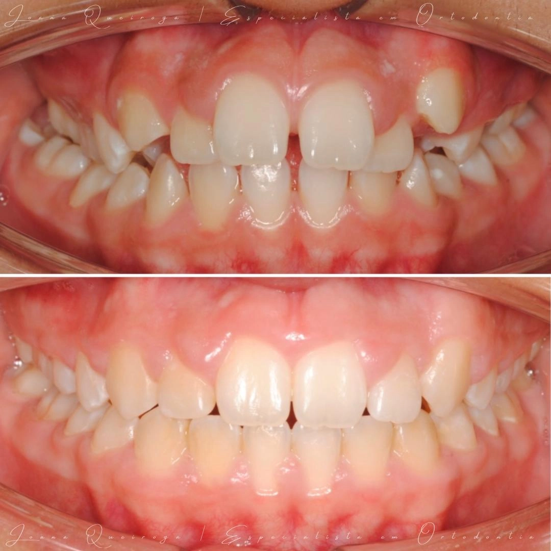
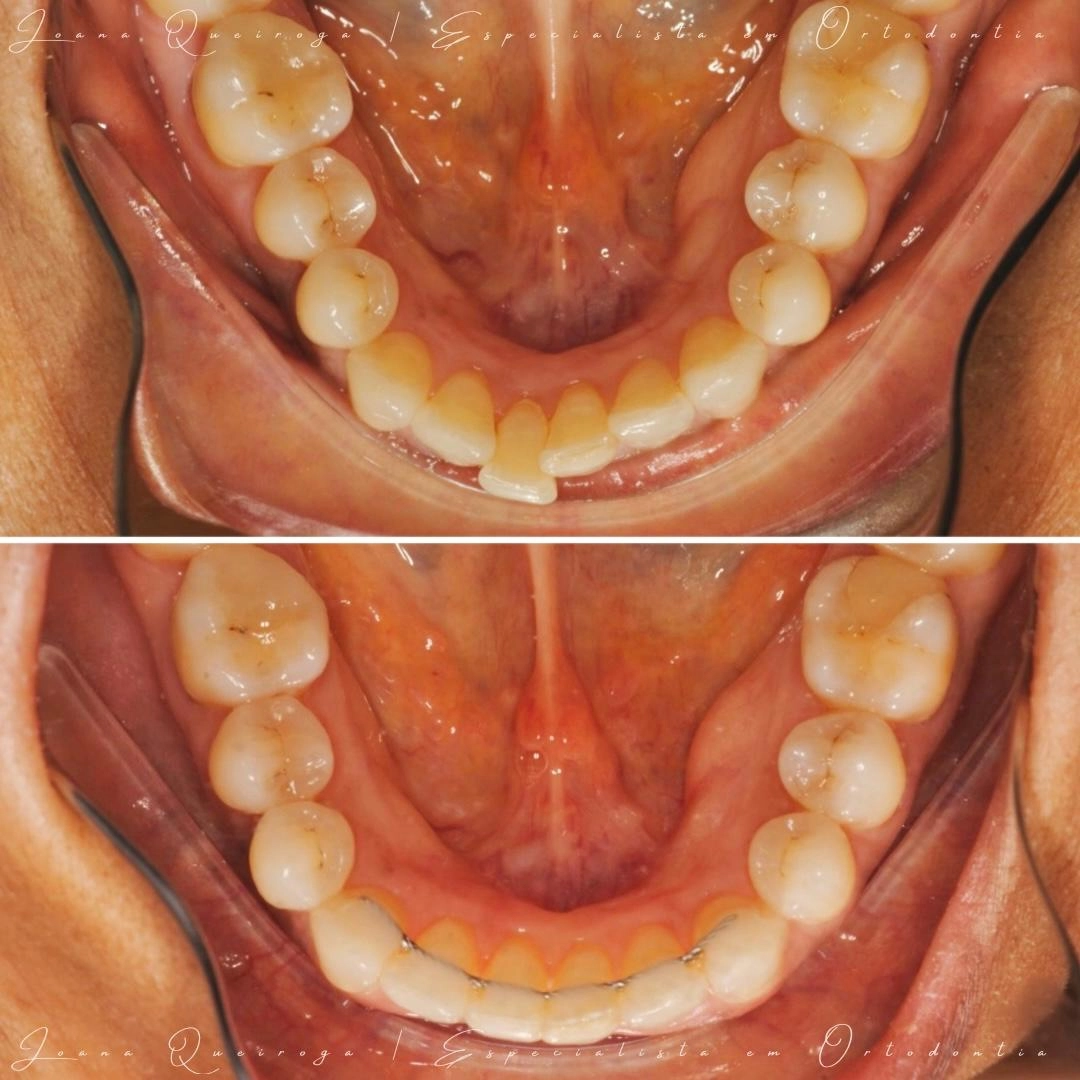
A Ortodontia de Alta Performance alia precisão clínica, planeamento digital e técnicas avançadas para corrigir alinhamento dentário e melhorar a função mastigatória. Cada sorriso é tratado de forma personalizada, garantindo resultados equilibrados, estáveis e naturalmente estéticos.

A nossa abordagem ortodôntica combina tecnologia atualizada com um profundo conhecimento biomecânico, permitindo corrigir desde casos simples até maloclusões complexas. Trabalhamos com métodos modernos — incluindo alinhadores, ortodontia fixa e planeamento digital tridimensional — para tornar cada etapa mais confortável, previsível e adaptada ao estilo de vida de cada pessoa.
O objetivo é não apenas alinhar dentes, mas promover uma função equilibrada, um sorriso harmonioso e uma estabilidade duradoura. Tudo isto com acompanhamento próximo e uma comunicação clara ao longo de todo o tratamento.

Como Cuidamos Nesta Área
A correção ortodôntica exige precisão, planeamento rigoroso e uma leitura funcional completa. Na JAQ Clínica Dentária, cada tratamento é pensado para oferecer conforto, previsibilidade e resultados que respeitam a estética e a saúde a longo prazo.
Ortodontia Avançada e Especializada
Correção detalhada de alinhamento e função através de técnicas atualizadas e planeamento clínico rigoroso.
Alinhadores Dentários
Tratamentos discretos e confortáveis que alinham os dentes de forma eficaz, adaptando-se ao ritmo de vida de cada pessoa.
Correção de Maloclusões
Soluções completas para melhorar mordida, função e estética, abordando desde desvios leves até casos complexos.
Reunimos algumas respostas rápidas para esclarecer dúvidas e ajudar a preparar a sua experiência.
Os alinhadores são removíveis e discretos; o aparelho fixo permite maior controlo em certos movimentos. A escolha depende das necessidades clínicas.
É normal sentir algum desconforto inicial, mas geralmente é leve e temporário.
Varia de pessoa para pessoa, mas a maioria dos casos dura entre 6 e 24 meses.
Sim. A contenção é essencial para manter os dentes na nova posição e garantir estabilidade.
A maioria dos casos pode ser tratada com alinhadores, mas casos complexos podem beneficiar de outras técnicas.
Fale connosco — teremos todo o gosto em ajudar.
Marque a sua consulta e descubra a solução ideal para melhorar respiração, equilíbrio muscular e bem-estar diário.